Elbow X-Ray Views: A Radiopaedia Guide
Elbow X-Ray Views: A Radiopaedia Guide
Alright, guys! Let’s dive into the world of elbow X-rays. If you’ve ever wondered what radiologists look for when examining an elbow X-ray, you’re in the right place. This guide will walk you through the standard views, anatomical landmarks, and some common pathologies. Think of it as your friendly neighborhood Radiopaedia summary, but with a bit more pep!
Table of Contents
- Standard Elbow X-Ray Views
- Anteroposterior (AP) View
- Lateral View
- Oblique Views
- Anatomical Landmarks on Elbow X-Rays
- Humerus
- Radius
- Ulna
- Joint Spaces
- Common Elbow Pathologies Seen on X-Rays
- Fractures
- Dislocations
- Effusions
- Arthritis
- Tips for Interpreting Elbow X-Rays
- Use a Systematic Approach
- Compare with the Opposite Side
- Look for Subtle Signs
- Consider the Clinical Context
Standard Elbow X-Ray Views
When it comes to elbow X-rays, there are typically three standard views that radiologists rely on to get a comprehensive look at the joint. These views include the Anteroposterior (AP) view, the Lateral view, and the Oblique views. Each view provides a unique perspective, allowing for a thorough assessment of the bones and joint spaces. Let’s explore each of these views in more detail.
Anteroposterior (AP) View
The Anteroposterior (AP) view is a fundamental projection in elbow radiography. In this view, the X-ray beam passes from the front (anterior) to the back (posterior) of the elbow. The arm is usually extended and supinated, meaning the palm faces upwards. This position allows for a clear visualization of the distal humerus, proximal radius, and ulna. The AP view is crucial for assessing alignment, joint space, and detecting fractures or dislocations.
Key anatomical landmarks to identify in the AP view include the medial and lateral epicondyles of the humerus, the capitellum, trochlea, radial head, coronoid process, and olecranon. Radiologists look for smooth cortical outlines and consistent joint spaces. Any disruption in these areas can indicate fractures, dislocations, or other abnormalities. The AP view is particularly useful for identifying supracondylar fractures in children, which are common elbow injuries.
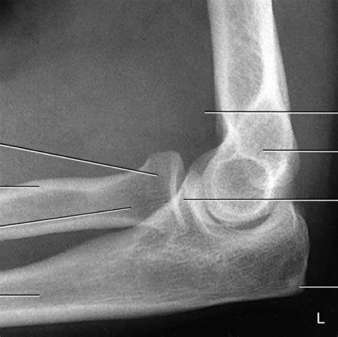
Lateral View
Next up is the Lateral view , which provides a side-on perspective of the elbow joint. For this view, the elbow is typically flexed at 90 degrees with the thumb pointing upwards. This position allows for optimal visualization of the olecranon process, radial head, and the relationship between the humerus, radius, and ulna. The lateral view is essential for evaluating the olecranon for fractures, assessing the anterior humeral line, and identifying joint effusions.
The anterior humeral line is a crucial reference point in the lateral view, especially in pediatric cases. This line is drawn along the anterior aspect of the humerus and should intersect the middle third of the capitellum. If the capitellum lies anterior to this line, it may indicate a supracondylar fracture with posterior displacement. Additionally, the lateral view is excellent for detecting joint effusions, which appear as a dark area (increased lucency) anterior to the distal humerus, often referred to as the anterior fat pad sign or sail sign .
Oblique Views
Lastly, we have the Oblique views , which are taken with the elbow rotated internally and externally. These views help to visualize structures that may be obscured in the AP and lateral views. The oblique views are particularly useful for assessing the radial head and neck, as well as the coronoid process. By rotating the elbow, different aspects of these structures are brought into profile, allowing for better evaluation of fractures or other abnormalities.
The internal oblique view typically focuses on the radial head and neck, while the external oblique view provides a better view of the coronoid process. These views are not always routinely taken but are invaluable when there is suspicion of subtle fractures or when the standard views are inconclusive. Radiologists often use oblique views to further investigate areas of concern identified in the AP and lateral projections, providing a more comprehensive assessment of the elbow joint.
Anatomical Landmarks on Elbow X-Rays
Okay, let’s talk landmarks! Knowing your way around the elbow anatomy on an X-ray is super important. We’re talking about the bones, the bumps, and the spaces in between. Think of it as learning the constellations so you can navigate the night sky, but instead, you’re navigating the bony landscape of the elbow.
Humerus
The humerus is the long bone in the upper arm that extends from the shoulder to the elbow. Key features you’ll spot on an X-ray include the distal humerus , which flares out to form the medial and lateral epicondyles. The capitellum is a rounded prominence that articulates with the radial head, and the trochlea is a spool-shaped structure that articulates with the ulna. Identifying these landmarks is crucial for assessing the overall alignment and integrity of the elbow joint.
Radius
The radius is one of the two bones in the forearm, located on the thumb side. In the elbow, the radial head is a disc-shaped structure that articulates with the capitellum of the humerus. Just distal to the radial head is the radial neck , a slightly narrowed region that is a common site for fractures. The radial tuberosity , a bony prominence on the proximal radius, serves as the attachment point for the biceps tendon. Being able to recognize these features is essential for detecting fractures and dislocations involving the radius.
Ulna
The ulna is the other bone in the forearm, located on the pinky finger side. The olecranon is a large, beak-like projection that forms the point of the elbow and articulates with the olecranon fossa of the humerus. The coronoid process is a triangular eminence that projects anteriorly and articulates with the trochlea of the humerus. The ulnar styloid process is a small bony projection at the distal end of the ulna. These landmarks are vital for assessing the stability and alignment of the elbow joint, particularly in the lateral view.
Joint Spaces
Don’t forget about the joint spaces ! These are the areas between the bones where cartilage normally resides. A normal joint space should appear as a consistent, radiolucent gap between the bones. Narrowing or widening of the joint space can indicate arthritis, cartilage damage, or ligamentous injuries. Evaluating the joint spaces is a critical part of assessing the overall health and function of the elbow joint.
Common Elbow Pathologies Seen on X-Rays
Alright, let’s get into some of the stuff you might actually see on these X-rays. We’re talking about the common issues that send people to the radiology department in the first place. Knowing what to look for can help you understand the clinical significance of those shadows and lines.
Fractures
Fractures are probably the most common reason for ordering an elbow X-ray. These can range from hairline cracks to complete breaks in the bone. Common fracture sites in the elbow include the radial head , olecranon , and distal humerus . In children, supracondylar fractures are particularly common. Radiologists look for discontinuities in the bony cortex, displacement of bone fragments, and associated soft tissue swelling to diagnose fractures. Understanding the mechanism of injury and the patient’s clinical presentation can help narrow down the possibilities and guide treatment decisions.
Dislocations
Dislocations occur when the bones of the elbow joint are no longer in proper alignment. The elbow is the second most commonly dislocated major joint (after the shoulder). Dislocations are typically caused by trauma, such as a fall onto an outstretched arm. On an X-ray, a dislocation is evident when the radius and ulna are displaced relative to the humerus. Dislocations can be associated with fractures and ligamentous injuries, so a thorough evaluation is essential to identify and address all components of the injury.
Effusions
Effusions , or fluid collections within the joint, are another common finding on elbow X-rays. Effusions can be caused by trauma, infection, or inflammatory conditions such as arthritis. On a lateral X-ray, an effusion is often visible as the anterior fat pad sign , where the normally flattened fat pad anterior to the distal humerus is displaced forward, creating a sail-like appearance. The posterior fat pad sign is even more specific for an effusion but is only visible when an effusion is present, as the posterior fat pad is normally located within the olecranon fossa and is not visible unless displaced by fluid. Identifying an effusion can help guide further diagnostic workup, such as aspiration of the fluid for analysis.
Arthritis
Arthritis , both osteoarthritis and rheumatoid arthritis, can affect the elbow joint. Osteoarthritis results from the breakdown of cartilage over time, while rheumatoid arthritis is an autoimmune condition that causes inflammation of the joint lining. On an X-ray, arthritis may manifest as narrowing of the joint space , osteophyte formation (bone spurs), and subchondral sclerosis (increased density of bone near the joint surface). These findings can help differentiate between different types of arthritis and assess the severity of joint damage.
Tips for Interpreting Elbow X-Rays
Alright, time for some insider tips! Interpreting elbow X-rays can be tricky, but with a systematic approach and a keen eye, you’ll be spotting subtle fractures and dislocations like a pro.
Use a Systematic Approach
Always follow a systematic approach when reviewing elbow X-rays. Start by assessing the alignment of the bones, then evaluate the bony cortex for fractures, and finally, examine the soft tissues for signs of swelling or effusion. This methodical approach will help ensure that you don’t miss any important findings.
Compare with the Opposite Side
When possible, compare the X-ray with the opposite, uninjured elbow . This can be particularly helpful in pediatric cases, where normal growth plates can sometimes be mistaken for fractures. Comparing the two sides can help you differentiate between normal anatomical variations and pathological findings.
Look for Subtle Signs
Pay attention to subtle signs such as the fat pad sign , subtle cortical irregularities , and changes in bone density . These subtle findings can be clues to underlying injuries or conditions that may not be immediately obvious.
Consider the Clinical Context
Always consider the clinical context when interpreting elbow X-rays. Knowing the patient’s age, mechanism of injury, and presenting symptoms can help you narrow down the differential diagnosis and guide further management. For example, a child with a history of falling onto an outstretched arm is more likely to have a supracondylar fracture than an adult with chronic elbow pain.
So there you have it! A comprehensive guide to elbow X-ray views, anatomical landmarks, common pathologies, and some handy tips for interpretation. Keep practicing, stay curious, and you’ll be reading elbow X-rays like a seasoned radiologist in no time! Remember, always correlate your findings with the clinical picture and when in doubt, don’t hesitate to consult with a colleague. Happy reading!